- Technique: Clippy-C 2G Braces, Straumann implants.
- Jeongwon Youn is an adjunct professor at Yonsei University and a certified Invisalign provider.
- Yonsei JW Dental Clinic serves about 5,000 patients annually from Europe, the Commonwealth, Asia, the USA, Canada, and Australia.
- Included Services: 3D dental scan, consultation with orthodontist.
- Stay Info: Accommodation is not included; no hotel stay is required.
Брекеттер дегеніміз не және олар не үшін керек?
Брекет-жүйе — бұл тістің дұрыс тиюін түзету және тістерді теңестіру үшін құрылым. Ол ортодонттық доға мен әрбір тіске қойылатын брекеттерден тұрады. Доға брекеттерге максималды жанасуы үшін оны арнайы резеңкелермен (лигатуралар) немесе қыстырғыштармен бекітеді.
Брекет-жүйелерінің қандай түрлері бар?
Барлық түрлерімен танысып, плюс-минустарын таразылаңыз, содан кейін ортодонтпен кеңесіп, өзіңізге ең жақсы нұсқаны таңдаңыз.
Материал түріне қарай брекет-жүйелері:
- Металл брекеттер. Бұл ең кең тараған және қолайлы бағадағы құрылымдар. Брекеттер доғаларға түрлі түсті лигатуралармен бекітіледі, сондықтан әр ай сайын өзіңізге ұнайтын түсті таңдауға болады. Мұндай брекет-жүйелерінің кемшілігі - эстетикасыздық, олар айналасындағылар үшін көрініп тұрады.
- Титан брекеттер. Сырттай металға ұқсас, бірақ олар беріктірек және жеңіл. Жиі никельге аллергиясы бар пациенттерге орнатылады. Бағасы метал брекеттерден қымбат.
- Керамикалық брекеттер. Олардың басты артықшылығы — жартылай мөлдір түсі, сол себепті олар тістермен дәл келіп, эстетикалық көрінеді. Мұндай брекеттер металдан қымбат, ал күтім нашар болса, қараңғыланып немесе сынуы мүмкін.
- Сапфир брекеттер. Бұл мөлдір құрылым (damon clear), ол тістерде әдемі көрініп, айналасындағыларға байқалмайды. Ол қарайып кетпейді және керамикалық брекет-жүйесінен берік. Кемшілігі - жоғары баға.
- Пластикалық брекеттер. Мөлдір құрылымдар, олар метал брекеттерден арзанырақ. Олар гипоаллергенді және шырышты тырнап кетпейді. Сонымен қатар, олар жиі боялады және сынғыш келеді. Ортодонттар оларды өте сирек қолданады, өйткені олар шағын ауытқулары барларда ғана көмектеседі.
- Комбинированные брекеттер. Көп жағдайда олар екі материалдан жасалады. Мысалы, алдыңғы тістерге керамикалық брекеттер, ал азу тістерге металл брекеттер қойылады. Осылайша, күлкі эстетикалық болып, пациент аз қаржы жұмсайды.
- Элайнерлер (Invisalign). Бұл көрінбейтін ауыз қалып, ол тіс қатарына орнатылады. Оларды тәулігі бойы немесе тек ұйқы кезінде киеді, нақты жағдайға байланысты. Олар тістердің шағын дұрыс еместіктерінде көмектеседі.
Брекеттерді бекіту түріне қарай түрлері:
- Вестибулярлы (сыртқы) брекет-жүйелер. Бұл классикалық брекеттер, олар тістердің сыртқы жағына бекітіледі. Олар тілдік брекеттерге қарағанда арзанырақ және реттеу мен күтімде оңайырақ.
- Тілдік (ішкі) брекет-жүйелер. Бұл металл құрылымдар, олар тістердің ішкі жағына орналастырылады. Солайша олар айналасындағыларға байқалмайды. Тілдік брекеттердің кемшіліктері: олар вестибулярлық брекеттерден қымбат және тазалау қиын.
Брекеттердің құрылымы бойынша түрлері:
- Лигатуралық брекеттер. Ортодонттық доға брекетке лигатуралар (арнайы резеңкелер) көмегімен бекітіледі.
- Лигатурасыз брекеттер (damon q). Ортодонттық доға әр брекетке енген қыстырғыштар арқылы бекітіледі.
Брекеттерді орнатар алдында не істеу қажет?
Алдымен стоматологқа жазылу қажет. Қажет болса, стоматолог сізге кариес пен десен ауруларын емдеп береді. Осыдан кейін ортопантомограмма (тістердің панорамалық суреті) жасау қажет, бұл ортодонттың брекет-жүйелерін барынша дәл түрде орнатуы үшін қажет.
Осыдан кейін гигиенист дәрігер сізге кәсіби тазалау жүргізеді, осылайша ортодонт брекеттерді сенімді түрде орната алады.
Брекеттерді орнату кезеңдері қандай?
Брекеттерді орнату шамамен 1-2 сағатты алады және 4 кезеңнен тұрады:
1 кезең. Дәрігер брекеттерді барынша сенімді түрде бекітумен кәсіби тіс тазалауын жүргізеді.
2 кезең. Ортодонт тістердің бетін арнайы эмальды тазалап, қорғау үшін ерітіндімен өңдейді. Тістерді кептіреді.
3 кезең. Әр брекетке стоматологиялық желім жағылып, оларды біртіндеп тістерге бекітіп, толық қату үшін жарық диодты шаммен бекітеді.
4 кезең. Брекеттердің арасында ортодонттық доғаны өткізіп, лигатуралармен немесе қыстырғыштармен бекітеді.
Орнату процесінен кейін ай сайын ортодонтқа бару қажет брекет-жүйесін реттеу, лигатуралар мен доғаларды ауыстыру үшін. Брекет-жүйесін емдеу қажетті нәтижеге жету үшін шамамен 1-3 жылға созылады.
Брекеттерді шешкеннен кейін ортодонт қояды тістердің ішкі жағына ретейнер (жіңішке металл доға). Бұл тістердің бастапқы орнына қайтып келмеуі үшін жасалады.
Брекеттерге қалай күтім жасау керек?
Орнатудан кейін брекеттерді қатты өнімдерді тістеу ұсынылмайды (мысалы, леденц, жаңғақ және попкорн) — бұл брекетті сындырудан сақтайды. Тістерді мұқият тазалау қажет, брекеттердің айналасындағы майда тамақ бөлшектерін тазалайтын арнайы ортодонттық щеткамен және кәдімгі щеткамен. Ай сайын брекет-жүйесін түзету, лигатуралар мен доғаларды ауыстыру үшін ортодонтқа бару қажет.
Bookimed Beauty — эстетикалық процедураларға арналған арнайы ұсыныстар мен жеңілдіктер табуға, өз тәжірибеңізбен бөлісуге, өзге адамдардың тәжірибелерімен танысуға, клиникалар мен дәрігерлер жөнінде пікірлер оқуға болатын орын.
ᐈᐈᐈ Bookimed Beauty тобына қатысыңыз
Брекет-жүйесінің құны неге байланысты?
Дәл ортодонттық емдеудің бағасын дәрігер сіздің тісіңіздің панорамалық рентгенографиясын мұқият қарағаннан кейін тағайындайды. Біз брекет орнату құнына әсер ететін негізгі факторлардың тізімін дайындадық.
- Брекеттер материалы. Мысалы, металл брекеттер орташа есеппен керамикалық брекеттерден $400-600 арзан.
- Қосымша медициналық және медициналық емес қызметтер. Жалпы шығынға диагностика, кариес және сағыз ауруларын емдеу, билеттер, трансфер және тұру ықпал етеді. Кейбір стоматологиялық клиникалар медициналық емес қызметтерді бағасында қамтиды. Бұл туралы Bookimed дәрігер-үйлестірушісінен білуге болады.
- Таңдаған ел мен стоматологиялық орталық. Брекет орнату бағасы белгілі бір елдегі баға қалыптасу ерекшелігімен байланысты. Мысалы, Польшада брекет орнату құны $600-ден басталады, ал Мексикада — $1 000-дан басталады. Сонымен қатар, Польшадағы процедуралар соншалықты қауіпсіз және халықаралық стандарттарға сәйкес жүргізіледі.
Брекеттердің бағасы қандай?
Біздің пациенттеріміз әлдеқайда жиі сұрақ қояды: брекет орнату қанша тұрады. Бұл сұраққа жауап беру үшін әлемнің әртүрлі елдеріндегі брекеттердің минималды бағаларымен кесте дайындадық. Онымен танысып, шығындарды бағалап, өз бюджетті алдын ала жоспарлаңыз.
|
Процедура |
Түркия |
Венгрия |
Польша |
Болгария |
Украина |
Таиланд |
Мексика |
|
Брекет-жүйені орнату |
|||||||
|
Керамикалық брекеттерді орнату |
сұраныс бойынша |
сұраныс бойынша |
сұраныс бойынша |
Бағалар 04.08.2022 жаңартылды
Неғұрлым нақты бағаны білу үшін біздің сайтта сұраным қалдырыңыз. Bookimed дәрігер-үйлестірушісі сіздің бюджетіңіз бен қалауларыңызды ескере отырып, ең қолайлы нұсқаны таңдайды. Біздің қызметтер тегін.
Қандай арнайы ұсыныстар мен жеңілдіктер бар?
Кейбір Bookimed-тың серіктес клиникалары біздің пациенттерге жеңілдіктер ұсынады. Олар жалпы емдеу құнына қосымша медициналық емес қызметтерді қамтиды. Осыған байланысты пациент аздап аз қаржы жұмсап, ең жоғары ыңғайлылықпен еміледі. Мұндай арнайы ұсыныстар жиі қамтиды:
- панорамалық рентгенография;
- ортодонт консультациясы;
- қажет болған жағдайда жергілікті анестезия;
- брекет-жүйені орнату;
- аэропорт — клиника — аэропорт трансфері;
- 4-5* қонақ үйде тұру;
- аудармашы қызметтері.
Мысалы, мұндай ұсыныстардың қатарына Софияда, Болгарияда AllDental стоматологиялық клиникасында брекет-жүйені орнату жатады. Процедураны Йоанна Тонева орындап, 10 жылдық тәжірибесі бар.
Брекеттер қай клиникаларда орнатылады?
Bookimed платформасында 80-нен астам клиника бар, оларда брекет-жүйелер орнатылады. Біз олардың арасынан TOP-5 үздіктерін бөліп алдық. Рейтингті дайындау кезінде назарға алынды:
- біздің пациенттердің пікірлері мен бағалары;
- брекеттермен емдеудің тиімділігі;
- ортодонттардың квалификациясы мен тәжірибесі;
- медициналық қызмет сапасы;
- емдеуді ұйымдастыру жылдамдығы.
Dental Bosphorus стоматологиялық денсаулық сақтау орталығы Түркияда
Dental Bosphorus — бұл Стамбулдағы стоматологиялық клиника, ол ортодонтия, эстетикалық стоматология, имплантология және хирургияға мамандандырылған. Әр жылы стоматологиялық орталықта 6 000-нан астам пациенттер емделеді.
Онда орташа 10 жылдан астам тәжірибесі бар 25 стоматолог практикамен айналысады. Олар үнемі Еуропаның жетекші клиникаларында тағылымдама мен квалификациясын арттырумен айналысады.
Польшадағы Albusdent стоматологиялық орталығы
Albusdent — бұл Краковтағы клиника, ол фунционалдық және эстетикалық стоматологиямен мамандандырылған. Онда 11 тар профильді бөлімдер бар, оларды түзету, протездеу, тісті алу, ағарту және винирлерді орнату ке<|diff_marker|> AT ғандай параларын жүргізеді.
Клиникада металл, керамикалық, сапфировый және алынатын брекет-жүйелер орнатылады. Ортодонттық емдеу орташа есеппен 1,5-2 жылға созылады.
MDental стоматологиялық клиникасы Венгрияда
MDental — бұл Будапешттегі стоматологиялық орталық, онда 45 000-нан астам пациент емделеді. Клиника стоматологтары дұрыс тістіі түзету, имплантаттарды орналастыру, винирлер, коронкалар және жақ-бет хирургиясына маманданған.
MDental стоматологиялық процедуралардың және жоғары сапасы бар қызмет көрсетудің арқасында 8 сертификатқа ие. Клиникада шетелдік пациенттерге арналған барлық емдік пакеттер бар, олар трансфер, консультация, процедура және медикаменттерді қамтиды.
Мексикадағы Cancun стоматологиялық орталығы
Dental Clinic Cancun — бұл ортодонтия, имплантология, эндодонтия және пародонтология мамандандырылған Канкундағы клиника. Онда 10 жылдан астам тәжірибелі стоматологтар ішіндегі 30 000 астам пациентті әр жыл сайын еместеп қабылдайды. Клиника дәрігерлері әр жылы АҚШ, Бразилия, Испания және басқа да елдердің оқу орындарында тағылымдамадан өтеді.
Таиландтағы Бумрунград Халықаралық ауруханасы
Бумрунград — бұл Бангкоктегі көппрофильді клиника, онда емделуге 1 000 000-нан астам пациенттер жыл сайын келеді. Онда тістің дұрыс қойылуын түзету, импланттарды орналастыру, протездеу, қалпына келтіру және тістерді ағарту процедуралары жүргізіледі.
Емдеу сапасы мен жоғары деңгейдегі медициналық қызметтің халықаралық GHA, JCI және DAISY сертификаттарымен расталады. Бумрунград әлемнің ең технологиялық және жақсы клиникалары рейтингінде орын алады, америкалық Newsweek журналының айтуынша.
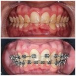
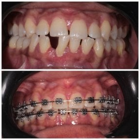
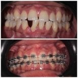
Брекет-жүйені орнатуға дейінгі және кейінгі фотосуреттер
Пациенттердің өзгеруімен танысыңыз. Олар шетелдік стоматологиялық клиникаларға барды, олар сізге де көмектесе алады. Брекеттерді орнатып, сіз 1,5 жылдан кейін тегіс және әдемі тістерді тамашалай аласыз, біздің пациенттеріміз сияқты.
Стоматологиялық клиника Advanced Dental Solutions Тихуана, Мексика
Стоматологиялық клиника WestDent Измир, Түркия
Bookimed пациенттерінің пікірлері
Нақты пікірлер Bookimed пациенттерінің ортасында брекеттерді орнатқан. Барлығы олар – біздің платформамыз арқылы клиниканы брондаған немесе оларды ілеспе келген адамдар. Біз атап кеткенін ескере отырып, біз оң және теріс пікірлерді жариялаймыз. Осылайша сіз дәрігерлер мен клиникалар жөнінде максималды объективті әсер құра аласыз.
Анонимды қолдаушы, Қазақстан
Брекеттерді орнату Evergreen Dental стоматологиялық клиникасында
Клиника дәрігерлеріне үлкен алғысымды білдіремін, менің қызым оларды бетінің ісінуімен жазылусыз келген, тістері қабынған, дәрігерлер тарапынан сапалы көмек көрсетілді, Evergreen-ға сәттілік пен гүлдену тілеймін! Шетелде емдеуді ұйымдастырғаны үшін Букиметтің командасына үлкен алғысымды білдіремін, әрқашан клиенттердің қалауларын, мүмкіндіктерін ескереді, сіздерге сәттілік тілеймін!
Наталья, АҚШ
Тіс емдеу Exclusive Dental Turkey стоматологиялық клиникасында
Бәрі де керемет өтті! Клиниканың ұқыпты және кәсіби ұжымы мен өте риза болдым. Рахмет.
Ирина, АҚШ
Тіс емдеу Sani Dental Group Playa del Carmen клиникасында
Bookimed менеджерімізге Алексейге мұқият, кәсіби мәселелерді шешу және сапарымызды ұйымдастыру үшін алғысымызды айтамыз. Клиникаға өте риза болып, Sunny Dental Playa del Karman-да емді жалғастыруды жоспарлаймыз.
Брекеттерді ересек жаста орнатуға бола ма?
Брекеттерді тек балаға ғана емес, ересек адамдарға да орнатыуға болады. Қарт пациенттерге тістің тиюін түзетуге балаларға қарағанда көп уақыт қажет болады. Сонымен қатар, нәтижесі де бірдей табысты болады, егер жоғары дәрежелі ортодонтқа жүгінсеңіз.
Брекеттерге арналған тістерді алып тастау қажет пе?
Жиі брекеттер орнату алдында ақыл тістерді алып тастау қажет, себебі олар басқа тістердің дұрыс орнын бұзады. Егер хирургиялық араласу қажет болса, ортодонт бұл туралы сіздің тістеріңіздің панорамалық суретін зерттегеннен кейін айтады.
Брекетерді орнатқаннан кейін тістер қашан теңіседі?
Көп жағдайда нәтижесі 1,5-2 айдан кейін көрінеді, бірақ әсерін сақтау үшін 1-3 жыл брекеттерді кию қажет.
Брекеттерді орнату қанша уақыт алады?
Брекет-жүйені орнату процесі шамамен 1-2 сағатты алады. Бұл дәрігер орнатқан брекеттер санына байланысты.
Брекеттерді орнатқаннан кейін тістер қанша уақыт ауырады?
Шамамен 7-10 күн тістеріңіз ауыруы мүмкін, бірақ дәрігер сізге жайлысыздықты жоятын ауруды басатын дәріні тағайындайды. Кейбір пациенттерде сондай-ақ доға ауыстырғаннан кейін (әр 2-3 ай сайын) ауыру болады, бұл жеке сезімталдыққа байланысты.
Брекеттерді орнатуға болмайтын жағдайлар қашан пайда болады?
Брекет-жүйені орнатуға кедергі келтіретін жағдайлар:
- ауыз қуысындағы қабыну аурулары;
- адам иммун тапшылығы вирусы;
- аутоиммундық аурулар;
- қан аурулары;
- белсенді туберкулез;
- қант диабеті;
- остеопатия және остеопороздар;
- өткір психикалық аурулар.
Bookimed сізге және жақындарыңызға қалай көмектесе алады?
➤ Bookimed дәрігер-үйлестірушілер сізге брекеттерді орнатуға мамандандырылған клиника мен дәрігерді таңдайды. Біз медициналық жағдайдың ерекшеліктерін, қажеттіліктеріңіз бен қалауларыңызды ескереміз. Барлық тұстары қамтылған жеке процедура бағдарламасын алып, сапар бюджетіңізді алдын ала жоспарлай аласыз.
➤ Bookimed — бұл медициналық шешімдер таңдау және 40-тан астам елдерде емдеуді ұйымдастыратын халықаралық қызмет. Әр ай сайын біздің дәрігер-үйлестірушілер 9 000 пациентке көмектеседі. Біздің миссиямыз — әрбір адамға қажетті медициналық шешімді қамтамасыз ету және барлық кезеңдерде қолдау көрсету: клиниканы таңдау мен сапарды ұйымдастырудан бастап үйге қайтқанға дейін. Сізге 24/7 байланыста боламыз, себебі сіздің денсаулыққа жету жолыңыз қарапайым және ыңғайлы болуы үшін.
➤ Bookimed қызметтері пациенттерге тегін. Шешімді таңдау және сапарды ұйымдастыру сіздің емдеу шығындарыңызға әсер етпейді.
Консультация алу үшін бізге сұраным қалдырыңыз, Bookimed дәрігер-үйлестірушісі сізбен байланысады.


























